Parlak bir gülümseme nadiren yalnızca diş macununa bağlıdır. Diş Taşlama, hakkında en çok konuşulan profesyonel diş temizleme prosedürlerinden biridir çünkü günlük fırçalamanın gözden kaçırabileceği sertleşmiş plak ve tartarın giderilmesine odaklanır. Birçok kişi için Diş Taşlama sadece daha temiz görünen dişlerle değil, aynı zamanda daha taze bir nefes, daha pürüzsüz bir diş yüzeyi ve uzun vadeli ağız hijyeninin daha iyi anlaşılmasıyla da ilişkilidir. DentPrime'da bu konu önemlidir çünkü bilgili hastalar diş bakımları konusunda daha sakin, daha akıllı ve daha güvenli seçimler yapma eğilimindedir.
Modern diş hekimliği sıklıkla onarımdan ziyade önlemeyi vurgular. Diş Taşlamanın ağız bakımının pratik ve geniş çapta tanınan bir parçası olarak konuşmaya girdiği yer burasıdır. Birçok kişi bunu basit bir cilalama seansı olarak düşünse de tartarın giderilmesinin ardındaki fikir daha katmanlıdır. Diş eti sağlığı, bakteri kontrolü, leke yönetimi ve ağzın genel durumu ile bağlantılıdır. Koruyucu diş hekimliği alanındaki bilimsel literatür sıklıkla dental biyofilm, mineralize birikimler ve periodontal değişiklikler arasındaki ilişkiyi vurgulamaktadır. Basit bir ifadeyle: Birikme çok uzun süre yerinde kaldığında ağız daha karmaşık bir ortam haline gelebilir.
İçindekiler
- Diş Taşlaması Nedir ve Neden Önemlidir?
- Diş Taşlamanın Koruyucu Diş Bakımına Nasıl Uyum Sağladığı
- İnsanları Diş Taşlamayı Düşünmeye Yönlendirebilecek İşaretler
- Diş Muayenesinde Diş Taşlaması Sırasında Ne Olur?
- Diş Taşlama ve Diş Eti Sağlığının Ardındaki Bilim
- Diş Taşlamayla İlgili Mitler, Yanılgılar ve Gerçekler
- Günlük Alışkanlıklar Diş Taşlama Sonuçlarını Nasıl Destekler?
- Diş Taşlama Neden Uzun Vadeli Ağız Farkındalığı İçin Akıllı Bir Konu Olmaya Devam Ediyor?

Diş Taşlaması Nedir ve Neden Önemlidir?
Diş Taşlama genel olarak, özellikle evde temizlenmesi zor olan bölgelerdeki diş yüzeyindeki plak ve tartarın profesyonel bir şekilde uzaklaştırılması anlamına gelir. Plak, sürekli oluşan yumuşak bir bakteri filmidir. Etkin bir şekilde uzaklaştırılmadığında sertleşerek diş taşı olarak da adlandırılan tartara dönüşebilir. Taze plaktan farklı olarak tartar genellikle tek başına rutin fırçalamayla kaybolmaz.
Bu, profesyonel diş taşı temizliğini koruyucu ağız bakımının önemli bir parçası haline getirir. Amaç tamamen kozmetik değildir, ancak birçok kişi daha sonra estetik gelişmeler fark eder. Daha derin değer, zamanla diş eti tahrişine ve ağız rahatsızlığına katkıda bulunabilecek maddelerin birikimini azaltmada yatmaktadır. Birçok klinik tartışmada tartarın uzaklaştırılması, daha sağlıklı diş etlerini destekleme ve daha temiz bir ağız ortamı sağlama çabalarıyla bağlantılıdır.
NLP dostu bir bakış açısıyla, terimi yakın anlamsal çemberiyle birleştirmeye yardımcı olur: diş taşı temizleme, tartar giderme, plak giderme, profesyonel diş temizliği, diş eti bakımı ve diş taşı temizliği. Bu ifadeler genellikle ilgili arama davranışında kullanılır. Birlikte, Diş Taşlamanın izole bir prosedür olmadığını, daha geniş bir koruyucu dişhekimliği stratejisinin parçası olduğunu gösteriyorlar.
İşin bir de psikolojik tarafı var. İnsanlar genellikle profesyonel bir temizlik seansından sonra ağız hijyenini koruma konusunda daha motive olurlar. Taze ve pürüzsüz bir ağız, daha iyi alışkanlıkları teşvik edebilir. Bu kulağa basit gelebilir ancak sağlık iletişimindeki davranışsal çalışmalar genellikle görünür ve duyusal sonuçların kişisel bakım rutinlerine uzun vadeli katılımı artırabileceğini öne sürüyor.
Diş Taşlamanın Koruyucu Diş Bakımına Nasıl Uyum Sağladığı
Koruyucu diş hekimliği basit bir prensiple çalışır: Erken dönemdeki birikimleri yönetmek, daha sonra ilerlemiş komplikasyonları ele almaktan genellikle daha kolaydır. Diş Taşlama, ağız bakımındaki en inatçı zorluklardan birini hedef alarak bu fikre uyuyor: diş eti çizgisi boyunca ve çevresinde sertleşmiş birikintiler. Bu birikintiler, bakterilerin daha kolay toplanabileceği pürüzlü bir yüzey oluşturabilir.
Ağız sağlığı alanındaki araştırmalar, bakteriyel biyofilm ile diş eti iltihabı arasındaki yakın ilişkiye defalarca işaret etmiştir. Bu, diş taşı olan herkesin ciddi diş sorunlarıyla karşı karşıya kalacağı anlamına gelmez, ancak diş hekimlerinin neden diş taşlarını sıklıkla dikkatli bir şekilde takip ettiğini açıklamaya yardımcı olur. Diş Taşlama gibi profesyonel temizleme yöntemleri bu yükü azaltmak ve günlük bakım için daha temiz bir temel oluşturmak üzere tasarlanmıştır.
Bunu anlamanın yararlı bir yolu basit bir karşılaştırma yapmaktır:
Ağız Bakım Elemanı | Evde Rutin | Profesyonel Destek |
Plak kontrolü | Fırçalama ve diş ipi kullanma | Detaylı plak çıkarma |
Tatar yönetimi | Genellikle sınırlıdır | Diş Ölçekleme ve diş taşı kaldırma |
Leke azaltma | Hafif yüzey iyileştirmesi | İnatçı alanların daha etkili temizliği |
Diş eti çizgisi temizliği | Zor olabilir | Daha kesin ve hedefe yönelik |
Değişiklikleri izleme | Kendini gözlemleme | Klinik değerlendirme |
Tablo evde bakım ve profesyonel bakımın neden rakip olmadığını göstermektedir. Onlar ortaklar. Günlük fırçalama, devam eden plak oluşumu döngüsünü yönetirken, Diş Taşlama, rutin araçların artık etkili bir şekilde gideremediği sorunları giderir.
Bir diğer önemli husus ise düzenliliktir. Ağız sağlığı literatüründe devamlılık sıklıkla yoğunluktan daha önemlidir. Başka bir deyişle, bir temizlik seansı faydalıdır, ancak sonuçları şekillendiren uzun vadeli kalıplardır. Bu nedenle önleyici bakımla ilgili tartışmalar genellikle sadece tedaviyi değil aynı zamanda zamanlamayı, tutarlılığı ve farkındalığı da içerir.
İnsanları Diş Taşlamayı Düşünmeye Yönlendirebilecek İşaretler
Pek çok kişi olağandışı bir şey fark edene kadar profesyonel temizlik yapmayı düşünmez. Bazen bu, diş eti çizgisinin yakınında görünür tartar anlamına gelir. Bazen kalıcı ağız kokusu, hafif diş eti hassasiyeti veya fırçalamadan sonra bile dişlerin tam anlamıyla temiz olmadığı hissi olabilir. Bu işaretler otomatik olarak belirli bir soruna işaret etmez, ancak çoğu zaman insanları Diş Taşlamanın konuyla alakalı olup olmadığını sormaya yönlendirir.
Yaygın bir neden dişlerdeki renk değişikliği veya pürüzlülüktür. Tüm lekelerin tartar olmadığını ve tüm tartarların çarpıcı görünmediğini unutmamak önemlidir. Bazı birikintiler sarımsı, bazıları kahverengimsi, bazıları ise daha az görünür alanlarda saklanıyor. Bu nedenle genellikle durumu açıklığa kavuşturan şey profesyonel değerlendirmedir. Yine de hastanın bakış açısına göre ilk ipucu genellikle klinikten ziyade duyusaldır: "Dişlerim farklı hissettiriyor."
Bazı insanlar yaşam tarzı faktörleri nedeniyle plak ve tartarın profesyonelce çıkarılmasını düşünmektedir. Örneğin kahve, çay, tütün veya düzensiz diş ipi kullanma alışkanlıkları daha belirgin birikmeye katkıda bulunabilir. Ortodontik apareyler temizliği daha da zorlaştırabilir. Bu gibi durumlarda Diş Taşlama, ağzın daha kolay yönetilmesini sağlamak için daha geniş bir çabanın parçası haline gelebilir.
Diş taşı temizliği ile ilgili sıklıkla soruları gündeme getiren yaygın gözlemler şunlardır:
- Diş etlerinin yakınında görünür tartar
- Pürüzlü veya daha az pürüzsüz görünen dişler
- Nefes tazeliğiyle ilgili devam eden endişeler
- Temizlenmesi zor görünen diş eti çizgisi bölgeleri
- Fırçalamaya rağmen kalan yüzey lekeleri
- Son profesyonel temizlikten bu yana uzun bir süre
Bu belirtiler bir tanı değildir. Bunlar genellikle Diş Taşlama konusunu odağa getiren gerçek yaşam deneyiminin bir parçasıdır.

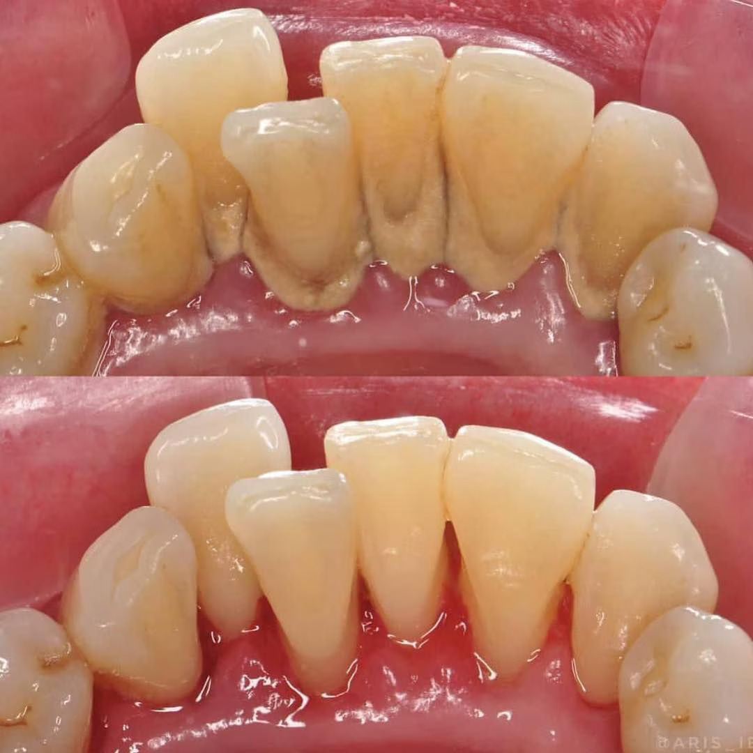
Diş Muayenesinde Diş Taşlaması Sırasında Ne Olur?
Birçok hasta için belirsizlik, işlemin kendisinden daha streslidir. Süreci anlamak Diş Taşlamanın daha az gizemli olmasını sağlayabilir. Genel olarak randevu dişlerin ve diş etlerinin görsel muayenesi ile başlar. Diş hekimi plak birikimini, tartar birikintilerini, diş eti durumunu ve temizlenmesi daha zor görünen alanları arayabilir.
Temizlemenin kendisi manuel aletler, ultrasonik cihazlar veya her ikisinin bir kombinasyonunu içerebilir. Ultrasonik aletler, birikintileri gevşetmek ve temizlemek için titreşim ve su kullanır; elle ölçekleyiciler ise daha küçük alanlarda ayrıntılı çalışmalar için kullanılabilir. Bu kombinasyon yaygındır çünkü farklı tipteki birikintiler ve diş yüzeyleri farklı tepki verir.
Taşlama aşamasından sonra diş yüzeylerini düzeltmek ve yüzeysel lekeleri azaltmak için cilalama işlemleri de yapılabilir. Yüzey ne kadar pürüzsüz olursa plak kısa vadede o kadar kolay tutunamaz. Bazı bağlamlarda bu, profilaksi veya profesyonel diş temizliği ile birlikte tartışılmaktadır, ancak kesin yaklaşım farklılık gösterebilir.
Deneyim genellikle pratik terimlerle tanımlanır:
- Kazıma veya titreşim hissi
- Su püskürtme ve emme
- Durulama için kısa duraklamalar
- Diş eti çizgisine ve dar alanlara dikkat
İnsanlar genellikle Diş Taşlamanın acı verici olup olmadığını merak ederler. Deneyimler hassasiyete, diş eti durumuna, birikme miktarına ve kişisel konfor düzeyine bağlı olarak büyük ölçüde değişiklik gösterir. Bu nedenle açıklamalar mutlak olmaktan ziyade ihtiyatlı olmalıdır. En önemlisi, işlemin rutin diş hekimliğinin tanıdık bir parçası olması ve birçok kliniğin deneyimi hastanın ihtiyaçlarına ve konforuna göre uyarlamasıdır.
Diş Taşlama ve Diş Eti Sağlığının Ardındaki Bilim
Diş Taşlama işlemine bilimsel ilgi büyük ölçüde periodontal sağlıkla olan ilişkisinden kaynaklanmaktadır. Ağız karmaşık bir mikrobiyal ekosisteme ev sahipliği yapar. Biyofilm biriktiğinde ve olgunlaştığında diş eti dokuları için daha az uygun olan yönlere kayabilir. Mineralize plak veya tartar, bakteri topluluklarının gelişmeye devam edebileceği kalıcı bir yüzey sağlar.
Bu nedenle periodontal tartışmalar genellikle debridman, plak kontrolü ve profesyonel temizliği içerir. Tortuların çıkarılması ağzı sterilize etmez ve amaç da bu değildir. Hedef daha gerçekçi: birikimi azaltmak, zararlı kalıpları bozmak ve ağız ortamında daha sağlıklı bir dengeyi desteklemek. Araştırma dilinde bu genellikle mükemmel sonuçların vaat edilmesinden ziyade risk faktörlerinin kontrol edilmesi olarak çerçevelenir.
Bunu düşünmenin bilimsel ama erişilebilir bir yolu şudur: Diş eti çizgisi bir sınır bölgesidir. Diş yapısı, yumuşak doku, nem, bakteri ve yiyecek artıklarının sürekli etkileşim halinde olduğu yerdir. Bu bölgedeki küçük değişiklikler konforu, görünümü ve temizliği etkileyebilir. Diş Taşlama, bu sınırın korunmasını kolaylaştırmaya odaklanır.
Bazı gözlemsel çalışmalar ve klinik incelemeler, düzenli profesyonel temizliğin, özellikle güçlü evde bakım rutinleriyle birleştirildiğinde plakla ilişkili durumların daha iyi yönetimiyle ilişkilendirildiğini göstermiştir. Ancak bu bulguları herkese uyacak tek bir kesinlik olarak sunmamak önemlidir. Ağız sağlığı yaş, genetik, teknik, diyet, tükürük, tıbbi geçmiş ve alışkanlıklardan etkilenir. Diş Ölçekleme en iyi şekilde daha büyük bir resimdeki ilgili bir parça olarak anlaşılır.
Diş Taşlamayla İlgili Mitler, Yanılgılar ve Gerçekler
Diş Taşlama kadar sıradan efsaneleri kendine çeken çok az diş konusu vardır. Yaygın bir yanlış anlama, ölçeklendirmenin; Dişleri incelterek. Gerçekte amaç, sağlıklı diş yapısını aşındırmak değil, diş yüzeyindeki sertleşmiş birikintiyi ortadan kaldırmaktır. Bazı insanlar daha sonra alışık oldukları tartarın yokluğunu hissederler, bu da dişlerin farklı veya daha açıkta kalmasına neden olabilir.
Diğer bir efsane ise dişleriniz yeterince beyaz görünüyorsa profesyonel diş taşı temizliğine gerek olmadığıdır. Görünüm yanıltıcı olabilir. Tartar, özellikle alt ön dişlerin arkasında veya azı dişlerinin çevresinde olmak üzere daha az görünen bölgelerde oluşabilir. Bu, bir gülümsemenin aynada güzel görünebileceği ancak gizli bir birikime sahip olabileceği anlamına gelir.
Diş taşı oluştuğunda sadece gargaranın bunu çözebileceğine dair bir inanış da var. Gargara belirli rutinlerde tazeliği ve hijyeni destekleyebilir, ancak sertleşmiş diş taşının genellikle profesyonelce temizlenmesi gerekir. Bu, Diş Taşlamanın gelişmiş evde bakım ürünleri çağında bile geçerliliğini korumasının bir nedenidir.
Birkaç fikri net bir şekilde ayıralım:
efsane | Daha Doğru Görünüm |
Ölçekleme dişleri zayıflatır | Sağlıklı diş minesini değil, birikmeyi gidermeyi amaçlamaktadır |
Beyaz dişler temiz dişler demektir | Gizli tartar belirgin bir renk değişikliği olmadan var olabilir |
Gargara tartarı yok eder | Tartarın genellikle profesyonel temizliğe ihtiyacı vardır |
Bir seans her şeyi sonsuza kadar çözer | Devam eden bakım ve alışkanlıklar hala önemlidir |
Sadece yaşlı yetişkinlerin buna ihtiyacı var | Birikme farklı yaş gruplarını etkileyebilir |
Bu açıklamalar önemlidir çünkü yanlış bilgi çoğu zaman gereksiz gecikmelere neden olur. Ağız bakımında ise gecikme genellikle konuşmayı olması gerekenden daha karmaşık hale getirir.
Günlük Alışkanlıklar Diş Taşlama Sonuçlarını Nasıl Destekler?
Profesyonel bakım günlük hijyenin yerini almaz; bunun için sahneyi sıfırlar. Diş Taşlama işleminden sonra birçok kişi dişlerinin daha pürüzsüz olduğunu fark eder. Bu pürüzsüzlük sadece tatmin edici olmakla kalmıyor, aynı zamanda taze plağın yeniden birikmeye başladığının anlaşılmasını da kolaylaştırıyor. Bu anlamda prosedür temizlik kadar farkındalığı da geliştirebilir.
Günlük alışkanlıklar merkezi oyuncular olmaya devam ediyor. Diş fırçalama, diş ipi kullanma veya diş arası temizliği, sıvı alımı ve dikkatli yiyecek seçimlerinin tümü plağın ne kadar hızlı geri döneceğini ve ne kadar sıkı yerleşeceğini etkiler. Profesyonel bir temizlik, halihazırda sertleşmiş olanı ortadan kaldırabilir ancak ağız ortamı her geçen gün değişmeye devam etmektedir.
Davranışsal araştırmalar sıklıkla rutinin yoğunluğu yendiğini göstermektedir. Basit ve tutarlı ağız alışkanlığına sahip bir kişi, birçok ürünü düzensiz kullanan bir kişiye göre zamanla daha iyi sonuç verebilir. Bu nedenle Diş Taşlama ile ilgili konuşma tek bir randevuya indirgenmemelidir. Uzun vadeli diş bakımı ritmine aittir.
DentPrime'da bu daha geniş bakış açısı önemlidir. Hastalar genellikle diş taşı temizliğinin yalnızca ne işe yaradığını değil, aynı zamanda ne yapmadığını da anladıklarında en fazla faydayı görürler. Zamanı dondurmaz. Gelecekteki tüm birikimleri ortadan kaldırmaz. Yapabileceği şey, iyi alışkanlıkların daha etkili ve daha ödüllendirici olacağı daha temiz bir temel oluşturmaktır.
Diş Taşlama Neden Uzun Vadeli Ağız Farkındalığı İçin Akıllı Bir Konu Olmaya Devam Ediyor?
Diş Taşlamanın ağız sağlığı tartışmalarında, arama trendlerinde ve hasta sorularında yer almaya devam etmesinin bir nedeni var. Önleme, rahatlık, estetik ve diş eti bakımının kavşağında yer alır. Pratiktir, tanıdıktır ve açık bir mantıkla desteklenmektedir: Sertleşmiş birikim sağlıksız bir ağız ortamına katkıda bulunuyorsa, bu birikimin ortadan kaldırılması daha iyi bakımı destekleyebilir.
Konuyu özellikle önemli kılan şey drama değil, alaka düzeyidir. Çoğu insan yaşamı boyunca bir şekilde plak birikimiyle uğraşacaktır. Sorun ağzın zamanla değişip değişmediği değil, değişir. Asıl soru bu değişikliklerin nasıl gözlemlendiği, yönetildiği ve anlaşıldığıdır. Profesyonel tartar temizleme, birkaç cevaptan biridir ancak önemli bir cevaptır.
DentPrime gibi bir marka için Diş Taşlama konusunu tartışmak sadece bir prosedürü anlatmaktan ibaret değildir. Okuyucuların ortak bir diş hekimliği konusunu daha fazla güvenle ve daha az kafa karışıklığıyla yönlendirmelerine yardımcı olmakla ilgilidir. Bilimsel anlayış, pratik farkındalık ve gerçekçi beklentilerin hepsi aynı konuşmanın içindedir.
Sonuçta sağlıklı dişler nadiren dramatik bir eylemin sonucudur. Genellikle tekrarlanan ve çoğu zaman gösterişsiz bakımın ürünüdürler. Diş Taşlama bu hikayeye çok iyi uyuyor. Gösterişli değil. Gizemli değil. Ancak ağız hijyeni alanında, düzenli bakımın zamanla daha sağlıklı, daha temiz ve daha rahat bir gülümsemeyi nasıl destekleyebileceğinin en açık örneklerinden biri olmaya devam ediyor.
