Supernumerary Teeth is a dental condition that continues to attract scientific interest due to its complex developmental background and its potential impact on oral health and facial harmony. In simple terms, Supernumerary Teeth refers to the presence of extra teeth beyond the normal number found in the human dentition. While this phenomenon may sound rare or unusual, it has been documented across different populations and age groups, often discovered during routine dental imaging rather than through symptoms.
From an anatomical and developmental perspective, Supernumerary Teeth challenges the conventional understanding of tooth formation. These additional teeth can appear in both primary and permanent dentitions, sometimes remaining hidden within the jawbone for years. This article explores the topic through scientific reasoning, clinical observation, and analytical interpretation, offering a comprehensive overview designed to inform rather than instruct.
Table Of Contents
- Understanding Supernumerary Teeth in Dental Anatomy
- Types of Supernumerary Teeth and Their Morphological Variations
- Developmental Factors Behind Supernumerary Teeth
- Clinical Detection of Supernumerary Teeth Through Imaging
- Potential Dental Implications of Supernumerary Teeth
- Treatment Considerations for Supernumerary Teeth in Modern Dentistry
- Research Trends and Scientific Perspectives on Supernumerary Teeth
- Interpreting Supernumerary Teeth Beyond the Obvious

Understanding Supernumerary Teeth in Dental Anatomy
Supernumerary Teeth are defined as teeth that develop in excess of the standard dental formula. Humans typically have 20 primary teeth and 32 permanent teeth. Any deviation beyond this count is classified within the spectrum of supernumerary dentition. These extra teeth may resemble normal teeth in shape or present with atypical forms that differ significantly from surrounding structures.
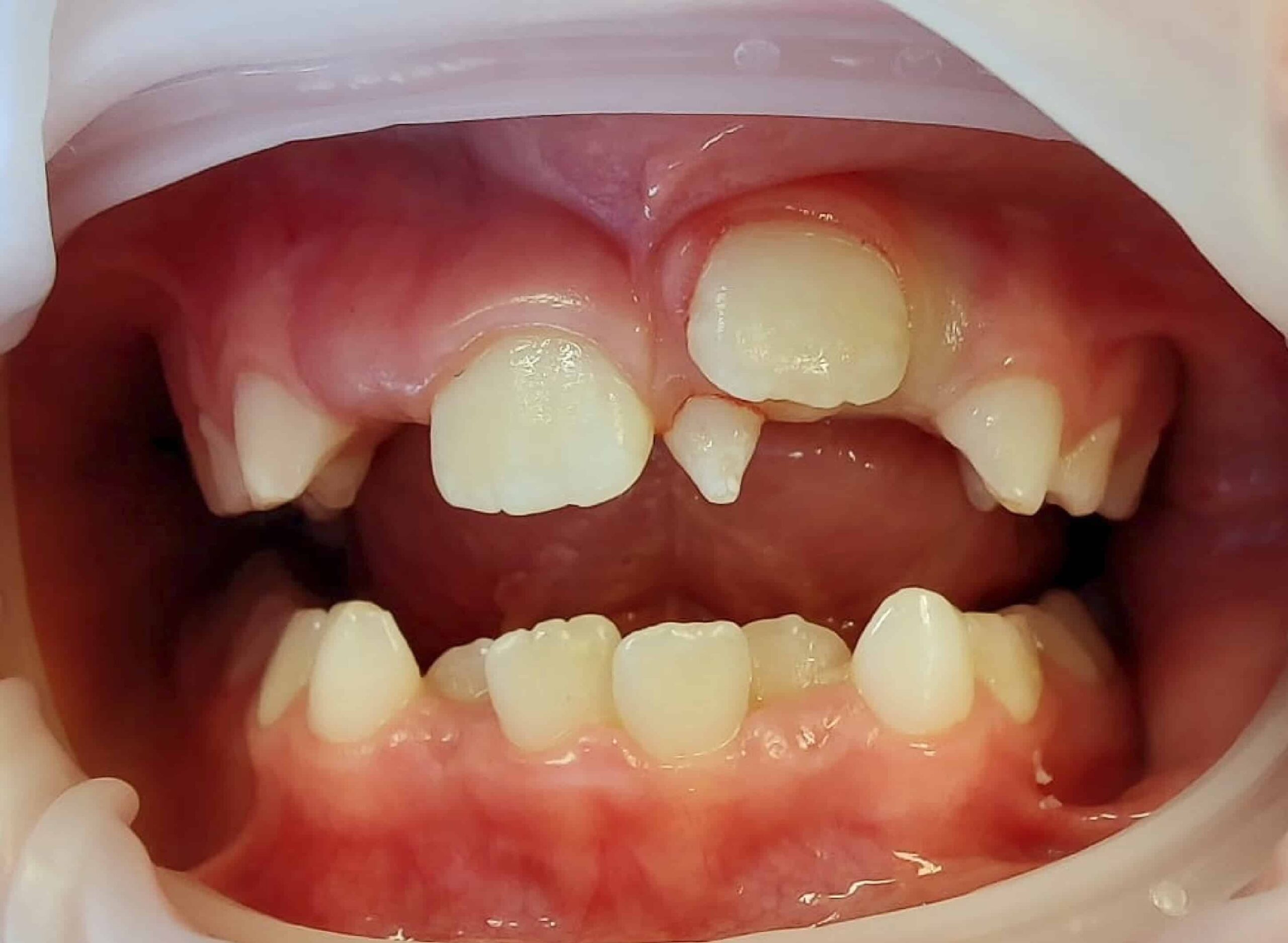
In dental anatomy, the position of Supernumerary Teeth is as important as their number. They may emerge near the incisors, premolars, or molars, with a notable frequency in the anterior maxillary region. Their presence can subtly alter bite mechanics, spacing, and eruption patterns, even when they remain unerupted.
From a morphological standpoint, extra teeth are often categorized based on shape, size, and orientation. This anatomical diversity explains why Supernumerary Teeth can be easily overlooked without radiographic evaluation. Their silent nature makes them a topic of ongoing clinical observation rather than immediate concern in many cases.
Types of Supernumerary Teeth and Their Morphological Variations
The classification of Supernumerary Teeth relies heavily on their shape and resemblance to natural teeth. One commonly discussed type is the supplemental tooth, which closely mimics the form and size of adjacent teeth. These teeth may blend seamlessly into the dental arch, making clinical identification challenging.
Another category includes rudimentary forms, which are often smaller and irregular in structure. Conical supernumerary teeth, for example, frequently appear between the upper central incisors. Their pointed shape distinguishes them from standard dental anatomy and contributes to their recognition in diagnostic imaging.
Tuberculate variations represent another morphological form, characterized by multiple cusps and incomplete root development. These types of Supernumerary Teeth are often associated with delayed eruption of neighboring teeth, highlighting their potential influence on overall dental development.
Developmental Factors Behind Supernumerary Teeth
The formation of Supernumerary Teeth is widely associated with disturbances during the early stages of odontogenesis. Dental research suggests that hyperactivity of the dental lamina may lead to the initiation of additional tooth buds, resulting in extra teeth.
Genetic influence plays a significant role in the occurrence of Supernumerary Teeth. Studies involving familial patterns indicate that certain hereditary traits may increase susceptibility, although the exact genetic mechanisms remain under investigation. Environmental factors, combined with genetic predisposition, further complicate the developmental narrative.
Syndromic associations also contribute to the understanding of this condition. In some cases, supernumerary dentition appears alongside broader craniofacial anomalies. These associations reinforce the idea that Supernumerary Teeth should be viewed within a broader biological context rather than as isolated dental events.
Clinical Detection of Supernumerary Teeth Through Imaging
Modern dental imaging has transformed the detection of Supernumerary Teeth. Panoramic radiographs and cone beam computed tomography allow clinicians to visualize unerupted teeth with remarkable precision. These technologies reveal positional relationships that are impossible to assess through visual examination alone.
In many instances, Supernumerary Teeth are identified incidentally during evaluations for orthodontic planning or routine dental assessments. Their discovery often prompts further analysis regarding potential interactions with adjacent teeth, roots, and anatomical landmarks.

Imaging also aids in understanding eruption patterns. Some extra teeth remain embedded within the jawbone indefinitely, while others follow atypical eruption paths. This variability highlights why Supernumerary Teeth continue to be an area of clinical curiosity and academic study.
Potential Dental Implications of Supernumerary Teeth
The presence of Supernumerary Teeth can influence dental alignment and spacing in subtle or pronounced ways. Extra teeth may contribute to crowding, delayed eruption, or rotational anomalies of adjacent teeth. These effects are often gradual, developing over time rather than presenting immediate symptoms.
In certain cases, impacted supernumerary teeth may exert pressure on neighboring roots. This interaction can alter root morphology or create localized changes within the surrounding bone. Such observations emphasize the importance of long term monitoring rather than immediate intervention.
From an occlusal perspective, Supernumerary Teeth may affect bite harmony. Even when asymptomatic, their anatomical presence adds complexity to the dental ecosystem, influencing how teeth interact during function.
Treatment Considerations for Supernumerary Teeth in Modern Dentistry
Approaches to managing Supernumerary Teeth vary depending on their position, type, and interaction with surrounding structures. In some scenarios, observation is favored, particularly when the extra teeth remain unerupted and do not interfere with dental development.
When intervention is considered, the decision often involves multidisciplinary evaluation. Orthodontic analysis, radiographic assessment, and clinical judgment collectively inform how Supernumerary Teeth are addressed within a broader treatment plan.
It is important to view treatment strategies through an analytical lens rather than a prescriptive one. Dental literature emphasizes individualized assessment, acknowledging that the impact of Supernumerary Teeth differs widely from one case to another.
Research Trends and Scientific Perspectives on Supernumerary Teeth
Scientific interest in Supernumerary Teeth continues to grow, particularly in the fields of developmental biology and craniofacial research. Advances in genetic mapping and molecular analysis have opened new pathways for understanding why extra teeth form.
Population based studies reveal variations in prevalence across different ethnic and demographic groups. These findings suggest that Supernumerary Teeth may be influenced by evolutionary, genetic, and environmental factors working in combination.
Ongoing research also explores the regenerative potential of dental tissues. Interestingly, insights gained from studying supernumerary dentition contribute to broader discussions about tooth regeneration and future dental therapies.
Interpreting Supernumerary Teeth Beyond the Obvious
Supernumerary Teeth represent more than just an excess number of teeth. They offer a unique window into dental development, genetics, and anatomical variation. Their study enriches scientific understanding while informing clinical observation and analysis.
Rather than viewing extra teeth solely as anomalies, modern dentistry recognizes their value in expanding knowledge about human biology. Through careful examination and research, Supernumerary Teeth continue to shape conversations about dental evolution and innovation.
For readers seeking a well rounded understanding of this topic, exploring supernumerary dentition provides both scientific insight and intellectual curiosity. DentPrime remains committed to presenting such topics with clarity, depth, and analytical integrity.





